Niềng răng tuổi teen là giai đoạn vàng để can thiệp chỉnh nha, giúp khắc phục sai lệch răng – khớp cắn và tạo tiền đề cho nụ cười khỏe đẹp, tự tin khi trưởng thành. Việc niềng răng ở lứa tuổi này không chỉ mang lại hiệu quả thẩm mỹ mà còn giúp bảo vệ sức khỏe răng miệng và toàn thân lâu dài. Dưới đây là top 5 lý do mà phụ huynh nên niềng răng tuổi teen cho con mình càng sớm càng tốt
Tận dụng “giai đoạn vàng” khi xương hàm còn mềm dẻo
Ở tuổi teen (thường từ 12 – 16 tuổi), răng vĩnh viễn đã mọc gần như đầy đủ, trong khi xương hàm vẫn đang phát triển mạnh mẽ và linh hoạt. Đây chính là điều kiện lý tưởng để bác sĩ dễ dàng can thiệp, sắp xếp răng về đúng vị trí.

Nếu đợi đến khi trưởng thành, xương hàm đã cứng chắc, răng ổn định, việc di chuyển răng sẽ mất nhiều thời gian hơn, khó đạt hiệu quả tối ưu và đôi khi phải cần đến phẫu thuật hỗ trợ. Ngược lại, niềng răng tuổi teen giúp rút ngắn quá trình điều trị, kết quả đạt được tự nhiên và bền vững hơn.
Ngăn ngừa biến chứng về khớp cắn và khuôn mặt
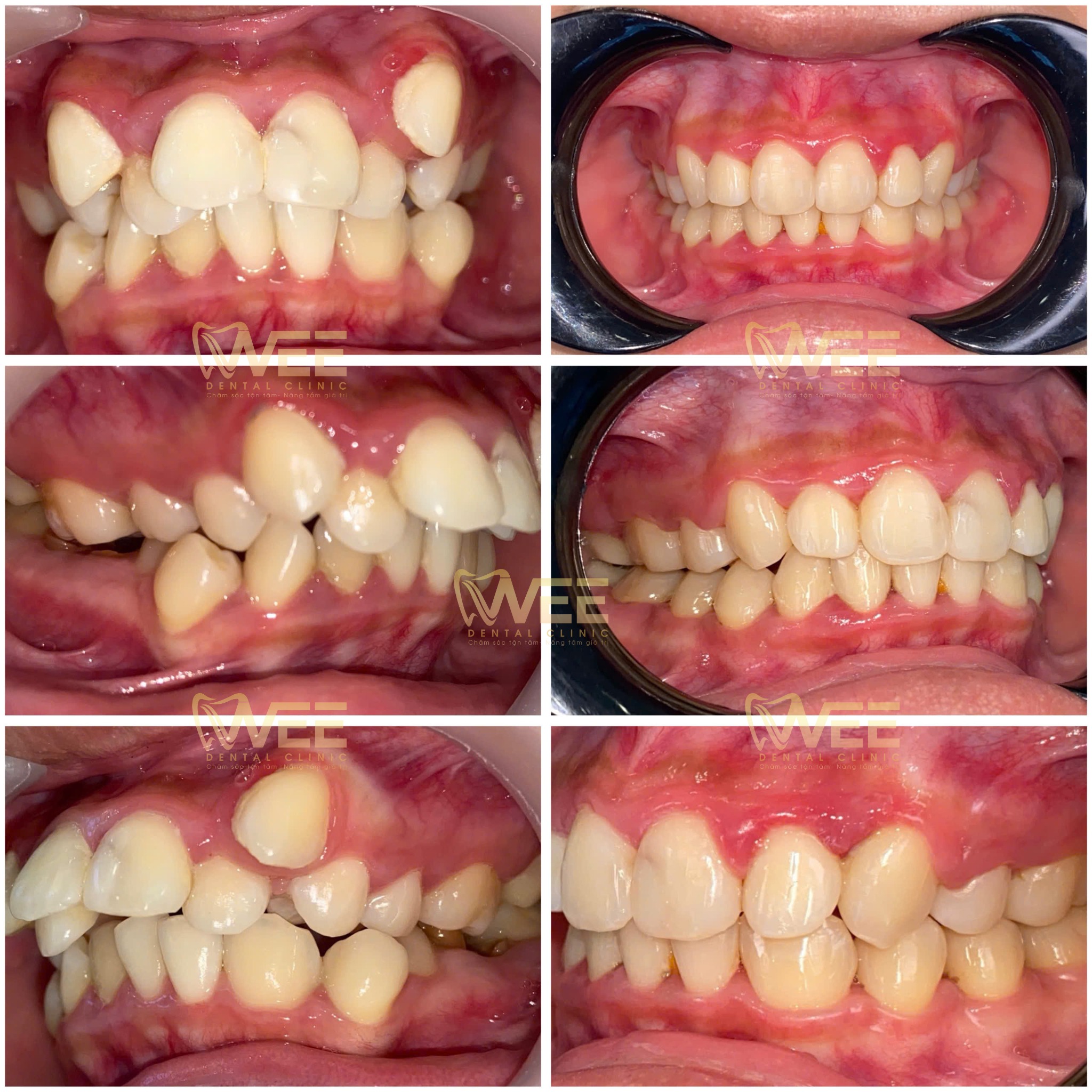
Răng mọc lệch, hô, móm, chen chúc… nếu không chỉnh sớm sẽ dẫn đến sai lệch khớp cắn. Tình trạng này không chỉ gây khó khăn trong ăn nhai mà còn ảnh hưởng đến sự phát triển hài hòa của khuôn mặt.
- Trường hợp răng hô: môi khó khép kín, gương mặt mất cân đối.
- Trường hợp răng móm: cằm đưa ra trước, dễ tạo cảm giác gương mặt già nua.
- Trường hợp răng lệch lạc: hai bên khuôn mặt không cân xứng, ảnh hưởng đến thẩm mỹ lâu dài.

Niềng răng ở tuổi teen giúp can thiệp kịp thời, định hướng sự phát triển xương hàm, phòng tránh các biến chứng nặng về sau. Kết quả cuối cùng không chỉ là hàm răng đều đẹp mà còn là một khuôn mặt hài hòa, cân đối
Niềng răng tuổi teen giúp cải thiện chức năng ăn nhai và sức khoẻ răng miệng
Răng lệch lạc không chỉ ảnh hưởng đến thẩm mỹ mà còn khiến việc nhai nghiền thức ăn kém hiệu quả, tạo gánh nặng cho hệ tiêu hóa. Bên cạnh đó, các khe hở hoặc vùng răng chen chúc thường khó làm sạch, dễ tích tụ mảng bám và thức ăn thừa, từ đó làm tăng nguy cơ sâu răng, viêm lợi hay hôi miệng.
Niềng răng tuổi teen sẽ giúp sắp xếp răng đều đặn, khớp cắn chuẩn, cải thiện khả năng ăn nhai và bảo vệ hệ tiêu hóa. Khi răng thẳng hàng, việc vệ sinh cũng trở nên dễ dàng hơn, giúp hạn chế mảng bám, ngăn ngừa bệnh lý nướu răng và duy trì sức khỏe răng miệng lâu dài.
Đây là lợi ích mang tính phòng ngừa quan trọng, bởi nếu để đến khi trưởng thành, việc điều trị các vấn đề răng miệng thường phức tạp và tốn kém hơn rất nhiều.
Tạo sự tự tin và tâm lý tích cực cho trẻ
Tuổi dậy thì là giai đoạn nhạy cảm khi trẻ bắt đầu quan tâm nhiều hơn đến ngoại hình và cách mình xuất hiện trước bạn bè.
Một hàm răng lệch lạc, kém thẩm mỹ có thể khiến các em trở nên rụt rè, ngại giao tiếp, từ đó ảnh hưởng đến kết quả học tập cũng như sự phát triển tâm lý.

Niềng răng tuổi teen mang lại cho trẻ một hàm răng đều đẹp, nụ cười tươi sáng, giúp các em tự tin hơn khi trò chuyện, tham gia học tập và các hoạt động ngoại khóa.
Đồng thời, quá trình niềng cũng rèn luyện cho trẻ thói quen chăm sóc sức khỏe răng miệng đúng cách. Điều quan trọng là sự tự tin và thói quen tích cực này sẽ theo các em đến khi trưởng thành, trở thành nền tảng vững chắc cho học tập, công việc và các mối quan hệ xã hội sau này.
Tiết kiệm chi phí hơn
Niềng răng ở giai đoạn tuổi teen thường mang lại hiệu quả nhanh hơn so với người trưởng thành, bởi cấu trúc xương hàm và răng lúc này còn linh hoạt, dễ di chuyển.
Thông thường, thời gian điều trị chỉ kéo dài khoảng 18 – 24 tháng, trong khi ở người lớn có thể lên tới 2 – 3 năm hoặc lâu hơn. Việc can thiệp sớm không chỉ giúp đạt kết quả chỉnh nha tối ưu mà còn phòng tránh được nhiều vấn đề phức tạp về răng – hàm – mặt sau này.
Nhờ đó, cha mẹ vừa giúp con sở hữu nụ cười đều đẹp, tự tin, vừa tiết kiệm đáng kể chi phí điều trị, coi như một khoản đầu tư thông minh và bền vững cho tương lai.
Vì sao nên niềng răng tuổi teen tại nha khoa Wee?
Hiểu rõ tầm quan trọng của niềng răng tuổi teen, Nha khoa Wee đã xây dựng dịch vụ chỉnh nha chuyên biệt dành riêng cho lứa tuổi này, mang đến hiệu quả tối ưu và trải nghiệm thoải mái cho cả phụ huynh lẫn trẻ.

Đội ngũ bác sĩ chỉnh nha tại Wee được đào tạo bài bản, giàu kinh nghiệm trong việc điều trị cho trẻ em và thanh thiếu niên, đảm bảo quá trình niềng diễn ra an toàn và chính xác.
Ngoài chất lượng đội ngũ chuyên môn, nha khoa Wee cùng không ngừng đầu tư hệ thống công nghệ – máy móc hiện đại, như máy chụp phim 3D Conebeam CT, phần mềm phân tích khớp cắn kỹ thuật số giúp bác sĩ chẩn đoán toàn diện và lên kế hoạch điều trị khoa học.
Bên cạnh đó, Nha khoa Wee cung cấp đa dạng lựa chọn khí cụ chỉnh nha, từ mắc cài kim loại truyền thống, mắc cài sứ thẩm mỹ đến niềng răng trong suốt Invisalign, đáp ứng nhu cầu thẩm mỹ cũng như điều kiện tài chính khác nhau của mỗi gia đình.
Toàn bộ quá trình đều được thực hiện theo quy trình chuẩn y khoa, đi kèm chế độ theo dõi định kỳ và hướng dẫn chăm sóc răng miệng tận tâm, giúp trẻ yên tâm đồng hành trong suốt hành trình thay đổi nụ cười.
Niềng răng tuổi teen không chỉ là giải pháp thẩm mỹ mà còn là một bước đầu tư quan trọng cho sức khỏe răng miệng và tương lai của con em chúng ta. 5 lý do trên đã cho thấy, việc can thiệp chỉnh nha càng sớm càng tốt sẽ mang lại nhiều lợi ích vượt trội: hiệu quả nhanh chóng, phòng ngừa biến chứng, tiết kiệm chi phí và tạo sự tự tin cho tuổi trẻ.
Nếu cha mẹ đang băn khoăn về việc niềng răng cho con, hãy để Nha khoa Wee đồng hành, tư vấn và mang đến giải pháp tối ưu nhất. Một quyết định đúng thời điểm hôm nay sẽ mang lại nụ cười rạng rỡ và sự tự tin vững bền cho mai sau.

Bài viết liên quan: